Cosmetic Dentistry
Cosmetic dentistry is a branch of dentistry in which the main objective is to improve the esthetic of the smile through the implementation of various techniques and treatments. These treatments are characterized by being fast, minimally invasive, and with long lasting results, giving the patient more confidence when smiling. Remember that each treatment in cosmetic dentistry is 100% individualized, since it will depend on the physiognomy, particularities, and preference of the patient.
Smile design
What is smile design?
Smile design is a set of techniques and procedures that allow the color, size, shape, and position of the teeth to be improved and the smile a more harmonious appearance. Depending on the initial state of the patient, a smile design may involve orthodontic treatment, the use of veneers, crowns, implants, dental fillings, dental whitening, gum trimming, inlays, or different combinations thereof.
What is the first step for a smile design?
It is of great importance that the specialist knows the wishes and needs of the patient, so that together we can build the treatment plan that meets their expectations. The smile design treatment should start with a complete assessment and diagnosis of the patient’s oral health, which may sometimes require taking tests such as X-rays, dental tomography, etc.
How long does it take to complete a smile design?
It should be considered that the duration of the treatment will depend on the work plan to be carried out, including the number of dental specialties involved (endodontics, orthodontics, etc.), the need for surgical procedures, among others. Remember that each smile design treatment must be treated as a particular and individual situation.
Likewise, the duration of the obtained results will depend on the post treatment care that the patient performs including precautions that must be considered for each particular case.
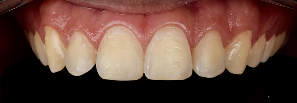
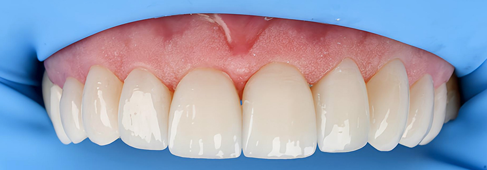
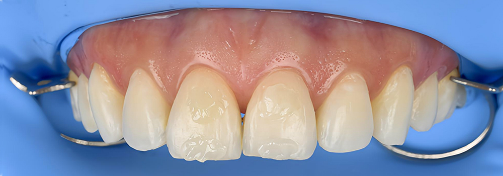
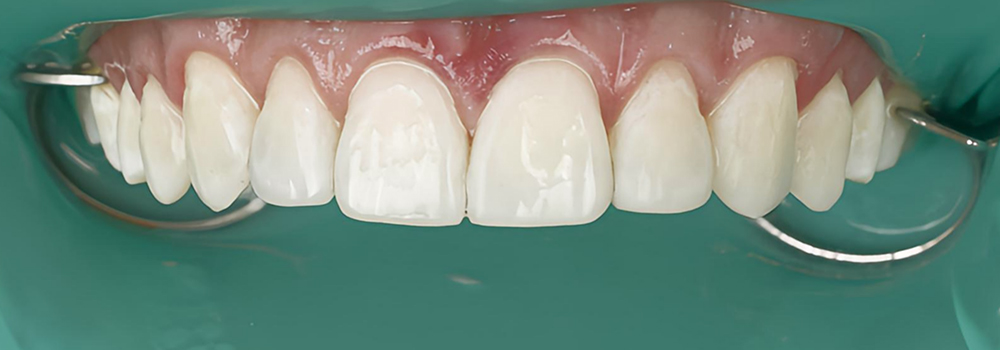
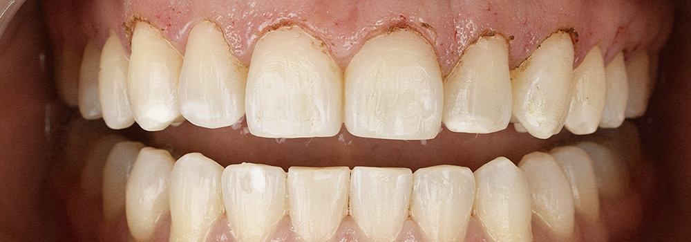
Porcelain Veneers and Lenses






The use of veneers (porcelain veneers) or porcelain lenses (porcelain lumineers) produces one of the most highly esthetic smile design. With this procedure we can generate, in a short amount of time, a perfect, bright, natural looking smile that is in harmony with the patient’s face.
What are porcelain veneers and lenses?
Veneers are thin lenses made of high resistance porcelain, that, when adhered to the teeth, allow the creation of a new, natural looking surface by changing its shape and color. It consists of a 100% personalized treatment, in which every detail of dental morphology can be planned, according to the patient’s preference and facial harmony. Porcelain veneers are not built directly in the mouth, but are made in a dental mechanics laboratory.
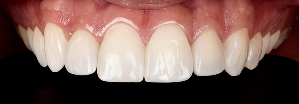
What advantages does this treatment offer?
Porcelain constructed veneers and lenses do not stain or tarnish the tooth, are resistant to fracture, and do not require abrading the tooth’s surface for bonding. This type of veneers with good care by the patient, can last between 15 and 20 years.
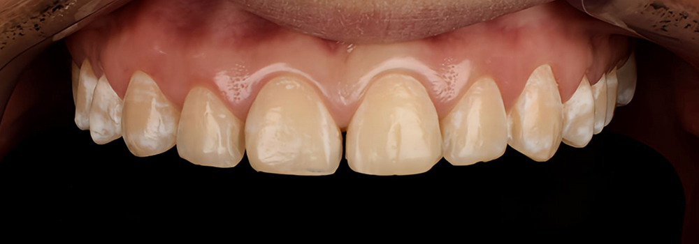
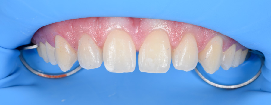
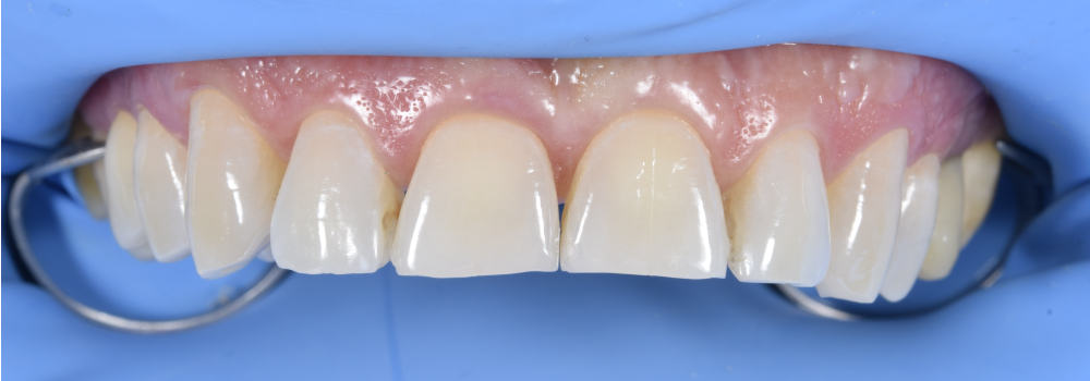
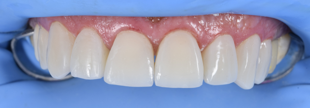
Mock up
If the patient wishes, we can perform a Mock Up prior to the cementation of the veneers. The Mock up is a live simulation that consists of testing, in the patient’s mouth, a prototype made of Bisacryl of the final result of the smile design, which will confirm agreement with their expectations or if necessary, make adjustments in size, shape or position.
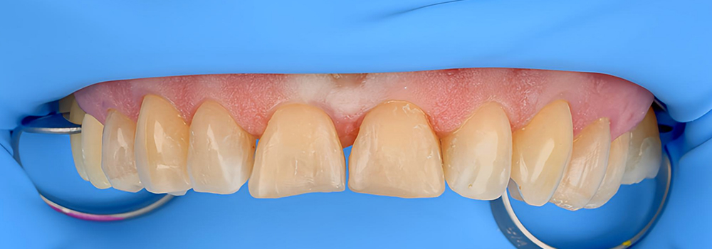
We have a dental microscope
We are one of the only clinics in Colombia to perform the cementation (adhesion) of porcelain veneers and lenses using a DENTAL MICROSCOPE. The use of this technology allows us to clearly see every detail of the process, guaranteeing precision in adjustment (adaptation), polis, and shine.
All inclusive
We have designed a complete package so you don’t have to worry about anything else! It includes initial deep cleaning, 8 porcelain ceramic veneers (or quantity to be agreed with the patient), teeth whitening and protective plate for the care of the veneers.
Ceromer veneers






The use of ceromer veneers produces one of the most highly esthetic smile designs, allowing us to create, in a short amount of time, a perfect, bright, natural looking smile that is in harmony with the patient’s face.
What are ceromer veneers?
Veneers are thin lenses made of ceromer (zirconium silicate microceramic) that, when adhered to the teeth, allow the creation of a new natural looking surface by changing its shape and color. Ceromer is a mid-range material that combines the benefits and properties of porcelain and composite. These veneers are manufactured in a dental mechanics laboratory, allowing every detail of the dental morphology to be planned according to the patient’s preference and facial harmony.
What advantages does this treatment offer?
Veneers made of ceromer material have an intermediate cost between porcelain and composite veneers, making them more accessible. They have greater gloss and mechanical resistance to wear and stains than composite veneers. This type of veneers with good care by the patient, can last between 6 to 8 years.
Mock up
If the patient wishes, we can perform a Mock Up prior to the cementation of the veneers. The Mock up is a live simulation that consists of testing in the patient’s mouth, a prototype made of Bisacryl of the final result of the smile design, which will confirm compliance with their expectations or if necessary, make adjustments in size, shape or position.
We have a dental microscope
We are one of the only clinics in Colombia to perform the cementation (adhesion) of ceromer veneers using a DENTAL MICROSCOPE. The use of this technology allows us to clearly see every detail of the process, guaranteeing precision in adjustment (adaptation), polish, and shine.
All inclusive
We have designed a complete package so you don’t have to worry about anything else! It includes initial deep cleaning, 8 ceromer veneers (or quantity to be agreed with the patient), teeth whitening and protective plate for the care of the veneers.




Composite veneers
These are a type of veneers made using a direct technique (i.e., they are made directly in the mouth, without requiring the use of a dental mechanics laboratory), where the specialist applies highly esthetic composite to the front surface of the teeth to improve the shape, size, proportion, and color of the teeth, achieving a more attractive smile.
What advantages does this treatment offer?
Composite veneers are a fast and conservative technique, in which the composite is applied directly to the tooth without wearing it, allowing the structure of the tooth to be preserved. It is a procedure that can be performed in a single session since the use of the dental laboratory is not required. They have an average durability of 4 to 6 years depending on the patient’s care.
We have a dental microscope
We are one of the only clinics in Colombia that offers the adhesion and stratification of composite veneers using a DENTAL MICROSCOPE. This allows us to clearly see every detail, guaranteeing precision in the adjustment (adaptation), polish, and shine.
All inclusive
We have designed a complete package so you don’t have to worry about anything else! It includes initial deep cleaning, 8 composite veneers (or quantity to be agreed with the patient), teeth whitening and protective plate for the care of the veneers.
Edge Design
Edge design, also known as “Composite Bonding”, consists of applying highly esthetic composite with zirconium to improve the shape, edges, and incisal angles of the teeth, with the aim of correcting small imperfections, fissures or wear and harmonize the appearance of the smile.
What advantages does this treatment offer?
It is a quick treatment with immediate results, which can be done in a single session since the use of the dental laboratory is not required. They have an average durability of 4 years depending on the patient’s care. It is a 100% conservative and minimally invasive treatment, in which it is not necessary to wear down the teeth.
All inclusive
We have designed a complete package so you don’t have to worry about anything else! It includes initial deep cleaning, 6 highly esthetic composite edges (or amount to be agreed with the patient), teeth whitening and protective plate for edge care.









Gum design and trimming (Gingivoplasty)
What is it?
It is a minimally invasive surgical procedure performed under local anesthesia, in which the gum is slightly trimmed, modifying its shape (gum contouring), with the aim of improving the appearance of the teeth (longer or less square) and obtaining a more proportionate smile.
Scalpel vs. Electrosurgical scalpel
Conventionally, gingivoplasty is performed with a bladed scalpel, however, in our clinic this procedure is performed with an electrosurgical scalpel, which offers greater precision in cutting, absence of bleeding, and shorter recovery time for the patient.
When is this procedure recommended?
This is a highly recommended procedure for patients who have what is known as a “Gummy smile”, which consists of an excessive exposure of the gums when laughing, making the teeth look shorter or smaller. It is also performed to correct small disproportions of the gum margin in the teeth.
Gum depigmentation

Healthy gums have a uniform pink color, however, there are multiple instances in which dark pigmentation can occur, including: tobacco use, melanoplakia (genetic origin), certain medications and treatments, periodontal diseases, among others.
How can this pigmentation be removed?
This dark coloration can be removed with a mucoabrasion process, in which the superficial layer of the gum, and the melanin deposits contained in it, are removed.
What are the advantages of mucoabrasion?
Mucoabrasion is a safe and effective procedure with optimal results for the patient, good healing process, little recovery discomfort and little chance of dark pigmentation returning.
Dental Whitening

Would you like to show off bright white teeth? We have the solution…
Dental whitening is an esthetic dental treatment performed to lighten the color of the teeth one or several shades.
In our clinic, we offer a complete dental whitening that consists of two stages. The first stage happens at the office, where a gel is applied to the teeth and then photoactivated with the help of a LED lamp. The second stage of whitening is done at home and consists of the use of personalized covers or trays (obtained from a dental impression) to apply the whitening gel.
How many shades will my teeth be lightened?
The result of dental whitening will depend on various individual characteristics of the patient, including: the initial color of the teeth, their habits, and the time and frequency the treatment is done.
All-inclusive
We have designed a complete package so you don’t have to worry about anything else! It includes initial deep cleaning to improve the efficiency of the results, whitening sessions in the office (amount to be agreed with the patient) and an at-home whitening kit that contains 2 personalized trays, a storage box and 6 syringes with whitening gel.
Cra 40b # 5b-15
ALMASUR Centro Profesional
Cali – Colombia